Introduction
Subacromial bursitis is a painful condition that affects the shoulder joint, often causing discomfort and limited range of motion. In this blog post, we will explore the anatomy of the shoulder, delve into the causes and symptoms of subacromial bursitis, discuss common investigative procedures such as MRI and ultrasound, highlight image-guided bursa injections, and explore other treatment modalities, including physical therapy.
Anatomy
- Location : The subacromial bursa is situated between the acromion, a bony projection of the scapula, and the rotator cuff tendons. This space forms the roof of the shoulder joint.
- Composition : The bursa is a thin, lubricated sac filled with synovial fluid. Synovial fluid is a clear, viscous fluid that helps reduce friction and allows smooth movement between adjacent structures.
- Function : The primary function of the subacromial bursa is to facilitate movement and reduce friction between the acromion, rotator cuff tendons, and other soft tissues in the shoulder. It acts as a protective cushion, preventing irritation and inflammation during shoulder movement.
- Relations : The bursa is closely related to the rotator cuff tendons, including the supraspinatus tendon. It lies beneath the acromion and the acromioclavicular joint, forming a protective layer between these structures.
- Innervation and Blood Supply : The subacromial bursa is supplied by blood vessels and innervated by nerves. The blood supply provides nutrients to the bursa, while nerve fibers contribute to the sensation of pain if the bursa becomes inflamed or irritated.

Clinical Significance
- Bursitis : Inflammation of the subacromial bursa, known as subacromial bursitis, can occur due to various reasons, such as overuse, trauma, or age-related changes. Bursitis can lead to pain, swelling, and limited range of motion in the shoulder.
- Impingement Syndrome : The subacromial space can narrow, causing impingement of the rotator cuff tendons and the subacromial bursa between the acromion and the head of the humerus. This can result in pain and inflammation, especially during overhead activities.
Several factors can contribute to the development of subacromial bursitis. Here are some common causes
Causes of Subacromial Bursitis
Repetitive Overhead Movements
- Occupational Activities : Jobs or activities that involve repetitive overhead movements, such as painting, carpentry, or certain sports (e.g., swimming, tennis, baseball), can lead to overuse and irritation of the subacromial bursa.
Rotator Cuff Injuries
- Tendon Tears or Strains : Injuries to the rotator cuff tendons, which are located close to the subacromial bursa, can cause inflammation. This can occur due to acute trauma, chronic overuse, or degenerative changes associated with aging.
Impingement Syndrome
- Narrowing of the Subacromial Space : Impingement occurs when the space between the acromion and the head of the humerus narrows, leading to compression of the subacromial bursa and the rotator cuff tendons during certain shoulder movements. This can result from anatomical variations, bone spurs, or muscle imbalances.
Trauma
- Direct Impact or Injury : A fall, blow, or other trauma to the shoulder can cause inflammation of the subacromial bursa.
Age-Related Changes
- Degenerative Changes : As individuals age, the structures in the shoulder may undergo degenerative changes. This can affect the bursa, making it more prone to inflammation.
Infection
- Bacterial Infection : Although rare, subacromial bursitis can be caused by a bacterial infection. This may occur as a result of the spread of infection from nearby structures or through the bloodstream.
Inflammatory Conditions
- Rheumatoid Arthritis : Inflammatory joint conditions, such as rheumatoid arthritis, can lead to inflammation of the subacromial bursa.
Poor Posture and Biomechanics
- Abnormal Shoulder Mechanics : Poor posture or biomechanical abnormalities in the shoulder can contribute to increased stress on the subacromial bursa, leading to inflammation.
Symptoms of Subacromial Bursitis
Individuals with subacromial bursitis may experience the following symptoms :
- Shoulder Pain : Persistent or sharp pain in the affected shoulder is a hallmark symptom of subacromial bursitis. The pain may worsen during specific movements, such as lifting the arm or reaching overhead.
- Pain with Arm Movement : Pain may be exacerbated by certain arm movements, especially those that involve lifting, reaching, or rotating the shoulder. Activities such as reaching for objects on high shelves or combing the hair can trigger discomfort.
- Shoulder Tenderness : The affected area may be tender to the touch. Pressing on or around the acromion and the outer part of the shoulder may elicit pain.
- Swelling : Swelling or localized inflammation around the shoulder joint may be observed. Swelling can contribute to a feeling of tightness in the shoulder.
- Limited Range of Motion : Individuals with subacromial bursitis often experience a decreased range of motion in the affected shoulder. It may be challenging to raise the arm fully or perform certain movements without pain.
- Weakness in the Arm : Weakness in the affected arm may be present, particularly when attempting to lift or carry objects. The weakness is often related to pain and discomfort during muscle contractions.
- Pain at Rest : While pain is often associated with movement, some individuals may experience discomfort even at rest, especially if the inflammation is severe.
- Painful Sleep : Sleeping on the affected shoulder or certain sleeping positions may be uncomfortable and result in disrupted sleep due to pain.
- Pain Radiating Down the Arm : In some cases, individuals may experience pain that radiates down the arm, mimicking symptoms similar to those seen in conditions like rotator cuff injuries.
- Stiffness : Stiffness in the shoulder joint may be present, contributing to difficulty with daily activities and functional movements.
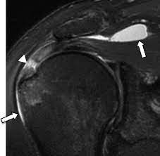
Investigations: MRI and Ultrasound
When diagnosing subacromial bursitis, healthcare professionals often use imaging studies to visualize the structures within the shoulder joint and assess the extent of inflammation. Two commonly employed imaging techniques for evaluating subacromial bursitis are Magnetic Resonance Imaging (MRI) and ultrasound.
MRI (Magnetic Resonance Imaging)
MRI is a non-invasive imaging technique that uses a powerful magnet and radio waves to create detailed images of the internal structures of the body. In the context of subacromial bursitis, an MRI can provide high-resolution images of the soft tissues, including the subacromial bursa, tendons, muscles, and bones in the shoulder.

Advantages of MRI in Subacromial Bursitis
- Detailed Visualization : MRI provides detailed and multi-planar images, allowing for a comprehensive assessment of the subacromial space and surrounding structures.
- Soft Tissue Contrast : MRI excels in differentiating between various soft tissues, helping to identify inflammation, fluid accumulation, and structural abnormalities in the subacromial bursa.
- Detection of Other Pathologies : MRI can also reveal other shoulder pathologies, such as rotator cuff tears or ligament injuries, which may coexist with subacromial bursitis.
Ultrasound
Ultrasonography of the right shoulder showed subacromial subdeltoid bursitis demonstrated as a hypoechoic fluid collection superficial to the rotator cuff and deep to the deltoid muscle.
Ultrasound is another imaging modality that uses sound waves to generate real-time images of the internal structures of the body. In the case of subacromial bursitis, ultrasound is particularly valuable for its ability to assess dynamic movements and provide a real-time view of the shoulder.

Advantages of Ultrasound in Subacromial Bursitis
- Dynamic Assessment : Ultrasound allows for dynamic evaluation of the shoulder joint, making it possible to assess movement-related changes and impingement.
- Real-Time Guidance : Ultrasound is often used for image-guided procedures, including bursa injections, allowing for precise placement of the needle into the inflamed bursa.
- Cost-Effective : Compared to MRI, ultrasound is generally more cost-effective and readily available for point-of-care imaging.
Clinical Use
- Confirmation of Diagnosis : Both MRI and ultrasound can help confirm the diagnosis of subacromial bursitis by visualizing signs of inflammation, such as fluid accumulation within the bursa.
- Differential Diagnosis : These imaging studies aid in ruling out other shoulder pathologies that may present with similar symptoms.
- Treatment Planning : Imaging findings guide healthcare professionals in developing an appropriate treatment plan, whether it involves conservative measures, physical therapy, or interventional procedures like bursa injections.
TREATMENT FOR SUBACROMIAL BURSITIS
Image-Guided Bursa Injections as practiced at Alleviate Pain Clinic
Image-guided bursa injections involve the precise delivery of anti-inflammatory medications, such as corticosteroids, directly into the inflamed bursa. At Alleviate Pain Clinic, these injections are performed under the guidance of imaging techniques like fluoroscopy or ultrasound to ensure accuracy and effectiveness. This minimally invasive procedure aims to reduce inflammation and alleviate pain, providing patients with relief.

Physical Therapy and Other Treatment Modalities
In addition to bursa injections, a comprehensive treatment approach for subacromial bursitis may include :
- Physical Therapy : Targeted exercises to strengthen the shoulder muscles, improve range of motion, and correct any biomechanical issues contributing to bursitis.
- Rest and Ice : Adequate rest and ice application to reduce inflammation and manage pain.
- Non-Steroidal Anti-Inflammatory Drugs (NSAIDs) : Oral medications to control pain and inflammation.
- Activity Modification : Adjusting daily activities to avoid exacerbating symptoms.
- Corticosteroid Medications : Oral or topical steroids may be prescribed to reduce inflammation systemically.
- Surgical Intervention : In severe cases, when conservative measures fail, surgical options such as subacromial decompression may be considered.
Conclusion
Subacromial bursitis can significantly impact an individual’s quality of life, but with proper diagnosis and a personalized treatment plan, relief is achievable. At Alleviate Pain Clinic, a multidisciplinary approach is taken, combining advanced diagnostic techniques, image-guided interventions, and rehabilitation strategies to address subacromial bursitis comprehensively. If you are experiencing shoulder pain or suspect subacromial bursitis, consult with a healthcare professional for an accurate diagnosis and tailored treatment plans.
